Yellow Teeth: The Real Cause and Treatment
Have you ever envied the sparkling white teeth that celebrities have? Do you purchase any kind of “whitening” product you can afford and hope for the best? Some people even get their teeth whitened professionally, which is quite an investment (the average cost for professional teeth whitening in Australia is $800!). Two of my previous receptionists were similarly planning to spend a large amount of money on getting their teeth whitened by a dentist. I told them to save their hard-earned dollars and try Ayurveda instead.

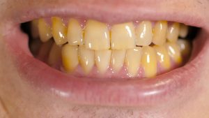
Yellow teeth are common, but few people realise what the yellow discolouration signifies. Particularly if you’re over the age of 40, yellow teeth may be a warning sign of something serious.
What Yellow Teeth Really Means
Tooth yellowing may be due to benign causes, but this is not always the case. Tooth discolouration or causes of yellow teeth itself falls into two categories: extrinsic and intrinsic stains.
Extrinsic stains are superficial, affecting the tooth enamel, which is the outermost layer of the teeth. Causes of this kind of staining include smoking, tobacco, coffee, tea, as well as other chemicals that cause yellowing. Extrinsic stains are the leading cause of yellow teeth.

Intrinsic stains on the other hand occur within the structure of the tooth, known as the dentin. These stains are much harder to remove than extrinsic stains and are most likely due to certain medications, chemicals, genetics, age, even illness.
Ayurveda particularly stresses on the cause of illness and organ malfunction when examining tooth colour. In our understanding as practitioners, the yellowing of one’s teeth is a signal of a malfunction within the body. More often than not, this signal may indicate one or more of the following problems:
- Liver dysfunction
- Acidosis and PH imbalance
- Endocrine dysfunction
- Diabetes or pre-diabetes
- Insulin resistance
- Pancreas dysfunction
- Kidney dysfunction
- Elimination and detoxification problems (uneliminated toxins are revealed through the teeth, as they cannot be filtered otherwise)
- A virus
- Candidiasis (particularly if your tongue bears a white coating)
If the real cause of your yellow teeth is related to an internal physical problem, then your condition may worsen if not addressed as soon as possible.
Yellow Teeth Complications
People with yellow teeth usually fail to understand the real cause behind the discolouration and subsequently allow these internal conditions to progress, thus leading to serious complications such as:
- Tooth decay
- Tooth, mouth or tongue pain
- Gingivitis (gum disease)
- Heart problems
- Artery blockages
- Pancreatic diseases
- Kidney diseases
- Liver diseases

Getting to the bottom of yellow teeth and addressing the cause quickly is the most effective way to prevent diseases and organ damage. But how can you do this?
Call us on 1300 552 260 or visit YATAN Holistic Ayurvedic Centre for the yellow teeth treatment.
Self-Help Tips for Yellow Teeth
In our Holistic Ayurvedic Centre, we have been successfully helping patients treat yellow teeth for two decades. According to the principles of Ayurvedic holistic medicine, we tailor a personalised action plan based on the Dosha imbalances within the body. But there are certain basic things you can do at home, like the following:
- Brush your teeth regularly. It is advised you do this each morning and evening before bed. We recommend using our Ayurvedic Tooth Powder for an all-natural whitening result.
- Scrape your tongue. Do this shortly after you’ve brushed your teeth but before you’ve properly rinsed your mouth. We recommend our Sterling Silver Tongue Scraper or our more affordable Stainless Steel Tongue Scraper.
- Massage your gums. Fight mouth bacteria directly by massaging our Ayurvedic Gum Massage Oil onto your gums or by swishing it in your mouth for 5-20 minutes.
- Eat teeth-whitening foods such as radishes, apples, strawberries, oranges and celery. Sweet potatoes, lentil/bean soup and brown rice may also be beneficial. PH-balancing foods are also highly recommended, so add things like salads, asparagus, beetroot to your diet as well – just makes sure to avoid acidic foods in the case of acidosis.

- Avoid starchy foods (white bread, white rice, cakes, sweets, etc), as these will only contribute to additional tarnishing of your enamel. If you’re a “sweet tooth”, opt for honey instead of sugar.
- Drink lime water every morning. This will assist with detoxification and purification of the whole body, including your teeth.
- Try Yoga breathing techniques (Pranayama). We recommend Sheetali Pranayama and Shitkari Pranayama for 5 minutes each. Both these breathing techniques assist with cooling down any inflammation within the mouth and organs.
Looking for a customised, all-natural and drug-free way for treatment of yellow teeth? Contact us today for a free no-obligation Ayurveda consultation.
How to Get Rid of Yellow Teeth
To get rid of yellow stains, you first need to understand the causes of yellow teeth. Sometimes it can be an underlying health condition, whereas sometimes it can be due to extrinsic reasons such as overconsumption of caffeinated drinks or tobacco products.
Now, to get rid of yellow teeth, you may find the following tips useful:
Oil Pulling.
Reducing consumption of tea and coffee.
Brush your teeth regularly with an Ayurvedic tooth powder or toothpaste.
Use gum massage oil.
Rinse your mouth well after every meal.
Frequently Asked Questions
What are the main causes of yellow teeth?
Excessive consumption of tea and coffee, consumption of tobacco, poor oral hygiene practices, etc. may be the causes of yellow teeth.
Can yellow teeth be white again?
Yes, after identifying the causes of yellow teeth, a whitening treatment can be determined for an individual.
What is the natural treatment for yellow teeth?
Natural treatments for yellow teeth include:
Scraping off white deposits on your tongue.
By eating teeth-whitening foods such as radishes, apples, strawberries, oranges, and celery.
Drink lemon water early in the morning.
What is the fastest way to get rid of yellow teeth?
We recommend brushing your teeth with our Ayurvedic tooth powder, which might help you get rid of yellow teeth.
How do you get rid of yellow teeth, as per Ayurveda?
To get rid of yellow teeth as per Ayurveda, try oil pulling and tongue scraping with a silver or steel tongue cleaner. In addition, using an ayurvedic tooth powder and gum massage also helps take care of your mouth flora (good bacteria).
Why do my teeth get yellow so fast?
The recurring state of yellow teeth may indicate an underlying health condition. Please call 1300 552 260 if you’re looking for yellow tooth treatment.
What foods turn teeth yellow?
Foods that may turn your teeth yellow are:
Tea
Coffee
Juice
Carbonated drinks
Curries
Food with artificial colouring.
All information and resources referenced in this article, including medicinal preparations, exercise and dietary recommendations, are based on the opinion of the author. All content is intended to inform and encourage the reader to seek professional advice if the aforementioned conditions and symptoms are present. No information in this article should be considered a diagnosis or prescription.

*Discover holistic healing with a complimentary phone or video consultation from our expert Ayurvedic practitioner. Start your path to better health today!*





















